

Pierwsze zastosowanie PBMT w leczeniu COVID-19: odpowiedź terapeutyczna na wspomagające leczenie fotobiomodulacją (PBMT) u 57-letniego Afroamerykanina z ostrym zapaleniem płuc w przebiegu COVID-19
Cel: Niezwykły lub nieoczekiwany efekt stosowanej terapii
Wprowadzenie: COVID-19 to jednostka chorobowa związana z zapaleniem płuc i burzą cytokin. Terapia fotobiomodulacyjna (PBMT) to bezpieczna, nieinwazyjna terapia o istotnym działaniu przeciwzapalnym, stosowana w leczeniu wspomagającym pacjentów z chorobami płuc. Badania na ludziach i eksperymentalne modele chorób układu oddechowego wskazują, że PBMT zmniejsza stan zapalny i wspomaga leczenie płuc. Niniejszy opis przypadku referuje pierwsze zastosowania wspomagającej PBMT w ostrym zapaleniu płuc w przebiegu COVID-19.
Opis przypadku: 57-letni Afroamerykanin z ciężkim COVID-19 otrzymał po jednej sesji PBMT przez kolejne 4 dni za pomocą skanera laserowego w trybie przerywanym 808 nm i super-impulsowym 905 nm przez 28 min/1 zabieg. Stan pacjenta był oceniany przed i po leczeniu na podstawie radiologicznej oceny obrzęku płuc (RALE) z wykorzystaniem RTG klatki piersiowej, oraz na podstawie wskaźników ciężkości zapalenia płuc, badań krwi, zapotrzebowania na tlen i kwestionariuszy pacjenta. Saturacja tlenem (SpO2) wzrosła z 93 – 94% do 97 – 100%, podczas gdy zapotrzebowanie na tlen spadło z 2–4 l/min do 1 l/min. Wynik RALE poprawił się z 8 do 5. Wskaźnik ciężkości zapalenia płuc poprawił się z klasy V (142) do klasy II (67). Dodatkowe wskaźniki płucne (Brescia-COVID i SMART-COP) zmniejszyły się z 4 do 0. Osiągnięto normalizację CRP z 15,1 do 1,23. Pacjent zgłosił znaczną poprawę w badaniu z wykorzystaniem narzędzia oceny pozaszpitalnego zapalenia płuc.
Wnioski: W raporcie przedstawiono leczenie wspomagające z wykorzystaniem terapii fotobiomodulacyjnej (PBMT) u pacjenta z ostrym zapaleniem płuc COVID-19. Wskaźniki oddechowe, wyniki radiologiczne, zapotrzebowanie na tlen i objawy pacjenta poprawiły się w ciągu kilku dni, i to bez konieczności stosowania respiratora. Konieczne są dalsze kontrolowane badania kliniczne, aby ocenić wpływ PBMT na wyniki kliniczne pacjentów z zapaleniem płuc wywołanym przez COVID-19.
Choroba koronawirusa 2019 (COVID-19) jest wywołana zakażeniem wirusem SARS-CoV-2. Objawy COVID-19 obejmują duszność, obrzęk płuc i zapalenie płuc. Zachorowalność i śmiertelność są związane z zespołem ostrej niewydolności oddechowej (ARDS) i burzą cytokin. Stan hospitalizowanych pacjentów z COVID-19 jest klasyfikowany jako ciężki, jeśli wymagają przyjęcia na oddział intensywnej terapii (OIT) [1,2]. W tym artykule przedstawiamy pierwsze zastosowanie terapii fotobiomodulacyjnej (PBMT) jako leczenia wspomagającego u pacjenta z ciężkim zapaleniem płuc wywołanym przez COVID-19.
Terapia fotobiomodulacyjna (PBMT) to wyłaniająca się alternatywna metoda o udowodnionym działaniu przeciwzapalnym w leczeniu bólu, obrzęku limfatycznego, gojeniu ran i urazów mięśniowo-szkieletowych. PBMT określana jest również jako laseroterapia niskoenergetyczna (lub światłem) (LLLT), zimny laser i fotobiostymulacja [3]. Efekty PBMT różnią się od efektów termicznych wywoływanych przez lasery dużej mocy stosowane w zabiegach kosmetycznych i chirurgicznych do niszczenia tkanki [4,5]. PBMT wykorzystuje niejonizujące, nietermiczne źródła światła w zakresie widzialnym i podczerwonym (400–1000 nm) [3]. W PBMT światło jest aplikowane na uszkodzone tkanki, a energia światła pochłaniana przez wewnątrzkomórkowe chromofory lub biomolekuły zapoczątkowuje kaskadę reakcji molekularnych, które poprawiają funkcjonowanie komórek i przyspieszają procesy naprawcze [4]. W efekcie światło stymuluje leczenie, moduluje układ odpornościowy, zmniejsza stan zapalny, obrzęk i ból [4]. PBMT jest nieinwazyjna, efektywna kosztowo i nie ma znanych skutków ubocznych.
Empiryczne stosowanie PBMT u dzieci, dorosłych i osób starszych z zapaleniem płuc, astmą, przewlekłym zapaleniem oskrzeli lub zwłóknieniem płuc skutkowało zmniejszeniem bólu i ciężkości w klatce piersiowej, normalizacją czynności oddechowej, skróceniem czasu powrotu do zdrowia oraz poprawą parametrów immunologicznych i radiologicznych. U tych pacjentów PBMT stosowane w połączeniu z konwencjonalnym leczeniem było bezpieczne i wywierało synergiczny efekt w procesie leczenia [6–10]. W ostatnio ukazujących się publikacjach zaleca się stosowanie wspomagającej PBMT u chorych na COVID-19 [11–13]. ARDS jest krytycznym powikłaniem zakażenia COVID-19, a wspomagająca PBMT może złagodzić ARDS i sprzyjać leczeniu płuc [11, 13–18]. Modele zwierzęce ostrego zapalenia układu oddechowego sugerują, że przezskórna PBMT płuc jest skuteczna w zwalczaniu burzy cytokin i ARDS dzięki jej wielopoziomowu działaniu przeciwzapalnemu [14–18].
Wspomagający leczenie efekt stosowania PBMT w przebiegu COVID 19 opiera się na oddziaływaniu lasera na tkankę płuc, które redukuje stan zapalny i promuje procesy naprawcze. The World Association for Laser Therapy zaleciło w 2010r.[19] zróżnicowane dawki lecznicze do stosowania w laseroterapii niskoenergetycznej, czyli PBMT, w zależności od głębokości umiejscowienia zmian w schorzeniach mięśniowo-szkieletowych. Minimalna dawka terapeutyczna o działaniu biostymulującym dla laserów czerwonych i bliskiej podczerwieni (NIR) wynosi 0,01 J / cm2 [20]. Światło lasera NIR o mocy 1 W / cm2 przepuszczane przez tkankę bydlęcą o grubości od 1,8 do 9,5 cm dało efektywne gęstości mocy na głębokości 3,4 cm i 6,0 cm [21]. W praktyce weterynaryjnej zapalenie płuc u kotów i psów jest często leczone laserem w dawkach 6 – 10 J / cm2 [22]. Zwierzęta te mają grubszą ścianę klatki piersiowej i skórę pokrytą sierścią, co sprawia, że penetracja wiązki lasera jest trudniejsza niż u ludzi. Dlatego zakres stosowany u kotów i psów jest zbliżony do skutecznej dawki dla ludzi.
Nasze wcześniejsze doświadczenia w leczeniu astmy [23] oraz bólu mięśniowo-szkieletowego i urazów wskazywały, że przeciwzapalne działanie PBMT może korzystnie wpływać na ciężki stan zapalny u pacjentów z COVID-19. Urządzenie laserowe zastosowane w tym przypadku to zatwierdzony przez Amerykańską Agencję ds. Żywności i Leków (FDA) system do leczenia bólu i redukcji stanów zapalnych w głębokich stawach ciała. Kombinacja 808 i 905 nm, obie długości fal w zakresie NIR, zapewnia penetrację na głębokości 4 – 5,4 cm. Zastosowane urządzenie laserowe jest używane do terapii stosunkowo głęboko położonych tkanek, takich jak biodra i stawy miednicy, które są otoczone grubymi warstwami mięśni. Dawka terapeutyczna potrzebna do dotarcia przez laser do głęboko położonych miejsc w miednicy wynosi 4,5 J/cm2 skóry. Na podstawie naszych obliczeń zastosowaliśmy dawkę 7,2 J/cm2 na skórze, aby dostarczyć nieco ponad 0,01 J/cm2 energii lasera do płuc. Dawka 7,2 J/cm2 przenika przez ścianę klatki piersiowej (1,6 do 6 cm u ludzi) i dociera do tkanki płuc z energią wystarczającą do biostymulacji. Protrakcja łopatek w pozycji na brzuchu powoduje zmniejszenie tkanki kostnej i mięśniowej, przez które musi przeniknąć laser, zwiększając w ten sposób energię lasera docierającą do pól płucnych.
Przedmiotem niniejszego opisu przypadku jest pierwsze zastosowanie PBMT jako leczenia wspomagającego w ciężkim przypadku zapalenia płuc COVID-19.
Pacjent to 57-letni Afroamerykanin z nadciśnieniem i astmą w wywiadzie, hospitalizowany z objawami duszności, poważnie odwodniony, z ostrą niewydolnością nerek i biegunką wywołaną przez C. difficile. Badanie przedmiotowe wykazało utrudniony oddech, osłabienie i zmęczenie.
Wykonanie Rtg klatki piersiowej wykazało: nasilające się nacieki w płucach. Zapotrzebowanie na tlen w szpitalu wahało się od 2 do 6 l/min. Pacjent uprzednio przebywał na oddziale intensywnej terapii z powodu niewydolności oddechowej z SpO2 80%, wymagając 48 godzin podawania tlenu 6 l/min. Rozpoznanie SARS-CoV-2 potwierdzono u tego pacjenta na podstawie reakcji łańcuchowej polimerazy z odwrotną transkrypcją w wymazie z nosogardła w systemie Abbott ID. Uzyskano zgodę pacjenta na przeprowadzoną pod kierownictwem FDA i zatwierdzoną przez międzynarodową komisję weryfikacyjną próbę leczenia COVID-19 z zastosowaniem lasera. Kryteria włączenia obejmowały pozytywny wynik testu COVID-19, zdolność do ułożenia na brzuchu i wymaganie co najmniej 1 l O₂/min.
| 808 nm (GaAlAs) diode | 905 nm (GaAs) diode | |
| Tryb pracy | Przerywany | Impulsowy |
| Częstotliwość | 1500 Hz, (Cykl pracy 50%) (1 Hz÷2 kHz) | 1500 Hz, (90 kHz modulowany przy 1 Hz÷2 kHz) |
| Czas impulsu | 333 μs (500 ms÷250 μs) | 100 ns |
| Moc szczytowa | 3 W | 75W × 3 |
| Moc średnia | 1.5 W | 11.25 × 3=33.75 mW |
| Rozmiar plamki | 19.625 cm2 | |
| Powierzchnia skanowania | Każde płuco 25×10=250 cm2 | |
| Dawka | 7.1–7.2 J/cm2 | |
| Odległość od skóry | 20 cm | |
| Czas zabiegu | 14 min. każde płuco | |
| Energia całkowita | 3600 J 1794.24 każde płuco |
|
| Czas całkowity | 28 min | |
| Zabiegi | Raz dziennie przez 4 dni | |
tabela 1
W tabeli przedstawiono parametry dawkowanej energii lasera i czas zabiegu zastosowane w opisywanym przypadku.
Obie diody są częścią jednego systemu laserowego: Multiwave Locked System (MLS). Istnieje możliwość wyboru nastawu systemu zależnej od ilości pigmentu w skórze pacjenta. Po aktywacji tej funkcji przyciskiem na konsoli aparatu natężenie lasera zmniejsza się o 50%, a oprogramowanie automatycznie oblicza nową wymaganą dawkę.
Pacjent był leczony za pomocą zatwierdzonego przez FDA lasera terapeutycznego Multiwave Locked System (MLS). Użyty aparat MLS wykorzystuje mobilny skaner z 2 zsynchronizowanymi diodami laserowymi: jedną w trybie impulsowym (1–2000 Hz), emitującą falę 905 nm i drugą w trybie przerywanym emitującą falę 808 nm. Dwie wiązki lasera działają jednocześnie i synchronicznie. Laser ten jest stosowany do leczenia bólu mięśniowo-szkieletowego i stanów zapalnych. Parametry lasera ustalono zgodnie z tabelą 1 i rysunkiem 1. Skaner laserowy ustawiono na 20 cm nad skórą, zgodnie z zaleceniami producenta. Każde płuco skanowano przez 14 minut od szczytu do podstawy na powierzchni 250 cm2 tylnej ściany klatki piersiowej (tab. 1, rys. 1, 2).

rysunek 1
Orientacja wiązek lasera podczas zabiegu laserowego w pozycji na brzuchu. Szczyt płuca znajduje się powyżej pierwszego żebra. Płuca rozciągają się od kręgu C7 (szczyt płuca) do T10 (podstawa płuca). Parametry lasera przy obu diodach działających synchronicznie i jednocześnie oraz przy pokrywających się osiach propagacji. 1) Dioda (GaAlAs) 808 nm: Moc szczytowa: 3 W, Tryb pracy: Przerywany, Częstotliwość: 1500 Hz, Czas impulsu: 333 μs, Powierzchnia skanowania: 25×10=250 cm2, Dawka: 7.2 J/cm2; 2) Dioda (GaAs) 905 nm: Moc szczytowa: 75 W×3, Tryb pracy: Impulsowy, Częstotliwość: 1500 Hz, Czas impulsu: 100 ns, Powierzchnia skanowania: 25×10=250 cm2, Dawka: 113.4 mJ/cm2; Energia całkowita: 3600 J. Czas zabiegu: (28 min), 14 min każde płuco, Sesje: Codziennie jedna sesja przez 4 dni. Protokół terapeutyczny: PBMT-COVID-19 Dr. S. Mokmeli.
Aby poprawić penetrację lasera do tkanki płucnej, zastosowano specyficzne ułożenie pacjenta na brzuchu z rękami pod głową, co zapewniło maksymalną trakcję łopatek w kierunku głowy. Pole laserowe zostało skupione na przyśrodkowej granicy łopatki, otwierając w ten sposób drogę do pól płucnych. Osiągnięta minimalizacja grubości ściany klatki piersiowej poprawia penetrację lasera do tkanki płucnej
Przed zabiegiem laserowym pacjent był obłożnie chory i przykuty do łóżka, z SpO2 92–95%, 2–4 l/min O2. Ukończył cykl antybiotykowy i nie otrzymywał żadnego wsparcia farmakoterapeutycznego ani dożylnego. Występowały u niego ciężkie epizody napadowego kaszlu, nie powiodła się próba terapii fizykalnej. Pacjent tolerował pozycję na brzuchu do leczenia laserem łącznie przez 28 min w czasie każdego zabiegu. Podczas 5 minut pierwszego zabiegu laserowego nasycenie tlenem wzrosło z 94% do 100%. Po zabiegu pacjent wrócił do łóżka i zajął ponownie pozycję półsiedzącą, a SpO2 utrzymywało się na poziomie 98% przez resztę dnia.
Bezpośrednio po każdym z 4 zabiegów pacjent mógł znacznie łatwiej oddychać. Napadowe ataki kaszlu ustąpiły po trzecim zabiegu. Po czwartym zabiegu pacjent był już w stanie poruszać się po gabinecie fizjoterapii. Następnego dnia po ostatnim zabiegu chory został przeniesiony na oddział rehabilitacji przy dawce tlenu 1 l/min. W dzień po przybyciu do oddziału rehabilitacji chory był w stanie wykonać 2 próby wchodzenia po schodach w ramach fizjoterapii oraz rozpoczął się proces odstawiania terapii tlenowej.

rysunek 2
Ustawienie skanera laserowego. Pacjent leży na brzuchu z rękami pod głową, aby uzyskać maksymalną protrakcję łopatek. Skaner znajduje się 20 cm nad skórą, zgodnie z wytycznymi producenta. Czerwone światło to promień wodzący lasera na skórze. Lasery podczerwone o długości fal 808 i 905 nm są niewidoczne. Dwa źródła laserowe są połączone w jednym systemie laserowym MLS.
Odpowiedź pacjenta na PBMT oceniano stosując różne metody ewaluacyjne przed i po laseroterapii. Pacjent wykazał poprawę we wszystkich kryteriach oceny (tab. 2).
Wskaźnik nasilenia zapalenia płuc (Pneumonia Severity Index, PSI) [24] stosuje się do obliczania prawdopodobieństwa zachorowalności i śmiertelności wśród pacjentów z pozaszpitalnym zapaleniem płuc (CAP). Przed leczeniem wynik PSI pacjenta odpowiadał klasie V (142), co wskazuje na konieczność leczenia na OIT i przewiduje intubację oraz użycie respiratora. Po PBMT PSI spadło do klasy II (67), co oznacza leczenie ambulatoryjne.
Wynik SMART-COP [25], który jest akronimem dla ciśnienia skurczowego krwi, nacieków wielopłatowych, albuminy, częstości oddechów, tachykardii, splątania, tlenu i pH, ocenia ciężkość zapalenia płuc i przewiduje potrzebę wdrożenia respiratoroterapii i/lub zastosowania leków naczynioskurczowych (Intensive Respiratory or Vasopressor Support, IRVS ) w CAP. Wynik SMART-COP przed leczeniem wynosił 5, co plasowało chorego w grupie wysokiego ryzyka i oznaczało 30% prawdopodobieństwo konieczności zastosowania IRVS. Po zastosowaniu PBMT
Skala ciężkości oddechu – Brescia-COVID (BCRSS) (ang. Brescia-COVID Respiratory Severity Scale) [26] to krokowy algorytm postępowania z pacjentami z potwierdzonym COVID-19. Przed leczeniem wynik BCRSS pacjenta wynosił 4 z 4, co wymaga stosowania kaniuli donosowej o wysokim przepływie (HFNC) oraz ponownej oceny i intubacji, jeśli wynik pozostaje > 2. Po PBMT wynik BCRSS pacjenta wyniósł 0, co oznacza jedynie wymóg monitorowania pacjenta
CAP tool score [27] to krótki i czuły kwestionariusz oceniający zmiany objawów ze strony układu oddechowego i samopoczucia CAP tool score [27] to krótki i czuły kwestionariusz oceniający zmiany objawów ze strony układu oddechowego i samopoczucia podczas leczenia pozaszpitalnego zapalenia płuc (Community Acquired Pneumonia, CAP). Wyniki < 75% wskazują na zaburzenia oddechowe. CAP score pacjenta przed leczeniem wynosił 36,68% i wzrósł do 82,84% po leczeniu. Jego CAP Respiratory Score poprawił się z 67,52% przed leczeniem do 87,17% przy wypisie. CAP Well-Being score wzrósł z 0% przed leczeniem do 73,07% po leczeniu. Omawiany pacjent wykazał znaczną poprawę we wszystkich 3 pomiarach objawów ze strony układu oddechowego.
Skala radiologicznej oceny obrzęku płuc (Radiographic Assessment of Lung Edema, RALE) [28,29] ocenia obrzęk płuc na podstawie RTG klatki piersiowej u pacjentów z ARDS. W celu ilościowego określenia zakresu zakażenia obliczono skalę jego ciężkości [29]. Każdemu płucu przypisano wynik od 0 do 4 w zależności od procentu zagęszczenia tkanki płucnej wskutek nacieku lub zacienienia typu matowego szkła, gdzie 0 oznacza brak zajęcia płuc, 1 oznacza 75%. Wyniki dla każdego płuca zostały zsumowane, aby otrzymać ostateczną ocenę ciężkości [29]. Wynik RALE wyniósł 8 (> 75% zajęcia obu płuc) i poprawił się do 5 po zakończeniu leczenia (rys. 3).
Po zakończeniu leczenia liczba białych krwinek spadła z 10,7 do 6,5, a białko C-reaktywne zmniejszyło się z 15,1 do 1,23. Zapotrzebowanie na tlen przed leczeniem wynosiło 2–4 l/min przy saturacji (SpO2) 93–94%. Po zakończeniu leczenia zapotrzebowanie na tlen spadło do 1 l/min przy SpO2 97–100% przy wypisie.
Jak wynika z opisu przypadku, 4 codzienne sesje (1 sesja dziennie przez 4 kolejne dni) wspomagającej PBMT były korzystne u pacjenta z ciężkimi objawami COVID-19. Pozytywną odpowiedź pacjenta na leczenie potwierdziły wyniki badań radiologicznych, oceny ciężkości zaburzeń oddechowych, spadek zapotrzebowanie na tlen, markery krwi i stanu zapalnego oraz kwestionariusze pacjenta. W okresie obserwacji po wypisie całkowity powrót do zdrowia wyniósł 3 tygodnie, podczas gdy mediana czasu powrotu do zdrowia w przypadku COVID-19 wyniosła 6–8 tygodni [30].
| Parametry | Przed terapią | Po terapii | Zakres prawidłowy lub kryteria oceny |
| PSI | Klasa V (142) | Klasa II (67) |
|
| SMART-COP | 5 | 2 |
|
| Brescia-COVID | 4 | 0 |
|
| CAP całkowity | 36.68 | 82.82 |
|
| CAP oddechowy | 67.52 | 87.17 | 75–100% |
| CAP samopoczucie | 0.0 | 73.07 | 75–100% |
| RALE | 8 | 5 | Punktacja płuc zależy od stopnia zajęcia w oparciu o zagęszczenie tkanki płucnej wskutek nacieku lub zacienienie typu matowego szkła dla każdego płuca. Wynik całkowity jest sumą wyników dla płuc: 0 – brak zajęcia płuc; 1 – 75% zajęcia płuc. |
| WBC | 10.7 | 6.5 | 4.5–11 |
| CRP | 15.1 | 1.23 | 3 mg/mL |
| O2 Requirement | 2–3 L/min | 1 L/min | 0 L/min |
| SpO2 | 93–94% | 100% | ≥ 94% |
tabela 2
PSI, Pneumonia Severity Index – Wskaźnik nasilenia zapalenia płuc; SMART-COP, Systolic blood pressure, Multilobar infiltrates, Albumin, Respiratory rate, Tachycardia, Confusion, Oxygen, and pH – ciśnienie skurczowe krwi, nacieki wielopłatowe, albuminy, częstość oddechów, tachykardia, splątanie, tlen i pH,; CAP, Community-Acquired Pneumonia – pozaszpitalne zapalenie płuc; RALE, Radiographic Assessment of Lung Edema – radiologiczna ocena obrzęku płuc; SpO2 – saturacja tlenem; WB, White Blood Cells – leukocyty; CRP, C-Reactive Protein – białko C-reaktywne; IRVS, Intensive Respiratory or Vasopressor Support – respiratoroterapia i/lub zastosowanie leków naczynioskurczowych; CXR, Chest x-ray – RTG klatki piersiowej; ABG, Arterial Blood Gas – gazometria; HFNC, High-Flow Nasal Cannula – kaniula donosowa o wysokim przepływie.
Uważa się, że terapeutyczny wpływ PBMT na zapalenie płuc odbywa się poprzez oddziaływania miejscowe i ogólnoustrojowe, które redukują cytokiny stanu zapalnego, nacieki komórkowe, obrzęki i zwłóknienie oraz zwiększają ilość cytokin przeciwzapalnych i procesów przeciwzapalnych oraz wspomagają gojenie. Lokalna PBMT oddziałuje na całe ciało poprzez jej fotoprodukty, które są rozprowadzane przez układ naczyniowy i docierają do odległych miejsc docelowych. Aktywowane fotoprodukty prowadzą do złagodzenia stanu zapalnego i pobudzają procesy immunomodulacji, stymulują gojenie się ran i regenerację tkanek [4]. Badania na zwierzętach demonstrują siłę oddziaływania PBMT.
Przezskórna PBMT w mysich modelach zwłóknienia płuc i ARDS istotnie zredukowała prozapalne cytokiny, komórki zapalne i odkładanie włókien kolagenowych w miąższu płuc [14–18]. Odnotowano natomiast istotny wzrost ilości przeciwzapalnej cytokiny interleukiny-10, monocytów surowicy i makrofagów płuc po PBMT [15,17]. Molekularne podłoże przeciwzapalnego działania lasera MLS wykazano na modelach mysich i in vitro [31–33]. W szczególności wykazano, że laser MLS hamuje aktywację inflamasomu, hamując interleukinę-1b i interleukinę-18, których dalsze przekazywanie sygnałów indukuje produkcję interleukiny-6, interleukiny-8, czynnika martwicy nowotworu a (TNF-a) i interferonu-g , które są zaangażowane w ARDS wywołany zakażeniem COVID-19 [14–18, 31–33].

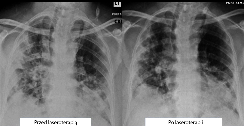
rysunek 3
Radiograficzna ocena obrzęku płuc (RALE) metodą RTG klatki piersiowej wykazała redukcję zagęszczenia tkanki płucnej i zacienienia typu matowego szkła po PBMT. Ocena radiologiczna płuc zależy od stopnia zajęcia na podstawie zagęszczenia lub zacienienia typu matowego szkła w każdym płucu. Całkowity wynik to suma punktów uzyskanych dla obu płuc. Klasyfikacja punktowa: 0 – brak zajęcia płuc; 1 – zajęcie płuc 75%. Wynik RALE przed laseroterapią (27.04.2020) = 8. Laseroterapię rozpoczęto 29.04.2020 r. Wynik RALE po laseroterapii (05-03-2020) = 5.
Badania na ludziach wykazały miejscowe i ogólnoustrojowe oddziaływanie PBMT po jej zastosowaniu na mięsień czworogłowy uda u pacjentów z przewlekłą obturacyjną chorobą płuc [10]. Korzystne efekty wykraczały poza poprawę wydolności mięśniowej, aż do statystycznie istotnej redukcji duszności i zmęczenia [10]. Nasz pacjent zgłosił również subiektywne odczucie poprawy funkcji oddechowej i siły.
Omawiany pacjent został umieszczony w pozycji leżącej tylko na czas leczenia laserem. Zabiegi trwały dokładnie 28 minut w każdym z 4 dni. Dowody fizjologiczne i dane z badań klinicznych przemawiają za stosowaniem wentylacji w pozycji na brzuchu u wybranych pacjentów z ARDS od umiarkowanego do ciężkiego. Aby odnieść korzyść terapeutyczną, konieczne są długie sesje ułożenia na brzuchu, trwające od 12 do 18 godzin na sesję [34,35]. Wzrost SpO2 z 94% do 100% wystąpił w ciągu pierwszych 5 minut zabiegu, a następnie efekt dobrej saturacji utrzymywał się. Uzyskane wyniki wskazują, że zastosowanie PBMT pozwala na szybką poprawę saturacji. Jest mało prawdopodobne, aby w omawianym przypadku samo ułożenie na brzuchu było przyczyną poprawy natlenienia, biorąc pod uwagę bardzo krótki czas ułożenia pacjenta w tej pozycji.
Podkreślić należy, że przedstawiony opis przypadku zawiera dane zebrane przed i po leczeniu. Wszystkie 4 narzędzia do oceny płuc i 3 kwestionariusze pacjentów wykazały korzyści z leczenia. Zgodnie z naszą najlepszą wiedzą był to pierwszy przypadek zastosowania PBMT w leczeniu wspomagającym zapalenia płuc u pacjenta z COVID 19. Napromienianie płuc w projekcji tylnej metodą skanowania nie stwarza ryzyka zakażenia, ponieważ urządzenie nie ma fizycznego kontaktu z ciałem pacjenta. Wadą przedstawionego opisu przypadku jest brak informacji o markerach stanu zapalnego i badań krwi. Przyszłe badania powinny obejmować wykonane przed i po leczeniu pomiary interleukiny-6, interleukiny-10, TNF-a, a także dodatkowych markerów zapalenia. Ograniczeniem tego opisu przypadku jest również to, że dotyczy on wyłącznie jednego pacjenta, w związku z czym autorzy nie byli w stanie przeprowadzić żadnej analizy statystycznej.
W raporcie przedstawiono przypadek chorego z ciężkim zapaleniem płuc związanym z ARDS w przebiegu COVID-19, u którego zastosowano PBMT jako leczenie wspomagające. Opierając się na tym przypadku, a także na doświadczeniu klinicznym dotyczącym stosowania PBMT w chorobach dróg oddechowych, uważamy PBMT za obiecującą metodę leczenia wspomagającego COVID-19. Ponadto opublikowane wyniki badań eksperymentalnych wykazują przeciwzapalne działanie PBMT na tkankę płucną. Sugerujemy, że stosowanie wspomagającego PBMT we wczesnych stadiach ciężkiego ARDS obserwowanego u pacjentów z COVID-19 może poprawić gojenie i zmniejszyć potrzebę długiego wspomagania respiratorem i pobytu na OIT. Trudna obecna sytuacja medyczna wymaga przeprowadzenia pilotażowych badań PMBT i badań klinicznych w celu oceny jej wpływu na zapalenie płuc wywołane przez COVID-19. Opisany przypadek włączono do trwającego randomizowanego, kontrolowanego badania klinicznego.
Treści na stronie kierowane są do osób wykonujących zawód medyczny lub prowadzących obrót wyrobami medycznymi. Jeśli jesteś profesjonalistą, kliknij “Tak, potwierdzam”, aby zapoznać się z treścią strony.
Zgodnie z obowiązującymi przepisami prawa, nasza strona internetowa jest przeznaczona wyłącznie dla profesjonalistów.
Jeśli chcesz uzyskać szczegółowe informacje o naszych produktach, terapiach lub usługach, zapraszamy do kontaktu z nami:
Meden-Inmed sp. z o.o.
ul. Wenedów 2
75-847 Koszalin
tel. +48 94 347 10 40
fax. +48 94 347 10 41
meden@meden.medendev.eu